近日,昆明医科大学第二附属医院肝胆胰外科三病区党支部书记、负责人龙奎带领董文志副主任医师、孙翊程医师通过一次微创手术,成功为一名求生欲望强烈与晚期肝癌搏斗一年多,最终达到手术指针的患者完成了腹腔镜下肝癌根治术。术后患者第二天进食流食,并下床活动,第7天顺利出院。

患者为一名48岁男性,因多年慢性乙型肝炎病毒感染导致肝癌,一年前在外院发现肝癌时已经丧失最佳手术时机。为了延续生命,选用了肝癌转化治疗,采用了Tace+靶向治疗+免疫治疗前后共九个疗程,历时一年,病灶明显缩小。患者及家属经多方咨询,秉承对昆医大附二院肝胆胰外科的信任,慕名找到龙奎副主任医师寻求手术治疗。
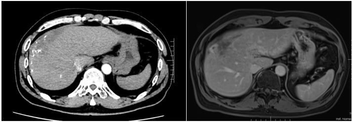
患者入院时诉说了自己与晚期肝癌对抗的痛苦与不易,同时也表明了与病魔抗争到底的决心。入院后,龙奎副主任医师立即为患者完善了CT、MRI+MRCP,ICG等检查,经过术前多学科MDT讨论后,认为患者肝癌转化效果满意,可以手术治疗。
由于患者肝癌位置特殊,肿瘤占据肝脏多个亚段,并且门静脉伴有海绵样变,手术中出血风险较大。另外,如大范围切肝,残余健全肝脏较少,术后有肝功能衰竭风险。为了保证患者手术质量安全,肝胆胰外科三病区高度重视,龙奎副主任医师组织科室详尽讨论了患者手术方案,在老专家孙敏教授、滕毅山教授、莫小华教授的鼎力支持下,最终决定采用腹腔镜微创手术方式完成手术,以最小的创伤让患者获得最大的收益。
手术中,由于患者有门静脉海绵样变特别容易出血,转化治疗后肝内管道走行变异,手术过程尤其艰难。龙奎副主任医师、董文志副主任医师、孙翊程医师与昆医大附二院优秀的麻醉团队、手术室护士团队通力合作,利用医院先进的荧光腹腔镜导航辅助,精准地完成了腹腔镜下肝IVb段+V段+胆囊切除术,历时5个小时,出血量200ml。

此患者手术能顺利完成并出院,完全得益于术前完善的检查,精确的评估和多学科团队的合作;术中手术医师精湛的腹腔镜技术、优秀的麻醉医师团队和手术室护士团队熟练配合;术后管床大夫细致的照顾、认真的管理。手术的顺利完成也充分体现了昆医大附二院肝胆胰外科三病区手术技能和围手术期管理的水平。
转化治疗是将不可切除肝癌转为可切除肝癌,然后切除肿瘤。国内外多家医学中心报道了肝癌经TACE或核素内放射治疗、外放射治疗后肿瘤缩小、降期,继而获得切除的系列研究,结果显示:经过转化切除的病人,其术后5年生存率可达50%~60%,与早期肝癌切除后的生存率相当。转化切除是中晚期肝癌治疗的阶段性目标,实现长期生存才是最终的目标。
昆医大附二院作为云南省肝胆胰外科医院,日前又成功获批国家临床重点专科建设项目单位,拥有一支团结协作、医疗水平精湛、科研技术力量雄厚的专科团队。科室在做好晚期肝癌患者转化治疗之外,也在转化成功后病人中积极探索其他治疗方式的价值,让患者真正获益。

科普小知识
1. 原发性肝癌的高危人群主要有病毒性肝炎感染,长期酗酒、非酒精脂肪性肝炎;
2.高危人群应定期体检,血液肿瘤标志物、CT、B超核磁共振是肝癌重要检测手段;
3.如发现患有肝癌后,切勿惊慌并引起重视,尽快前往正规且权威的医院进行诊治,早诊断早治疗,肝癌得到规范治疗后,可实现长期生存的目标。
文图:肝胆胰外科三病区