近日,昆明医科大学第二附属医院消化内科一病区成功为一位患者实施了内镜下阑尾治疗术,不开刀,无创伤,整台手术共计27分钟,既解决了阑尾炎的困扰,又实现了阑尾的保留。
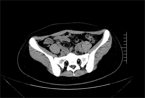
患儿王某,14岁,因“反复腹痛1年,加重3天”入院,入院完善腹部CT提示“阑尾体积增大,局部壁稍模糊,内见点状致密灶,右下腹多发淋巴结”,根据影像诊断为:阑尾粪石,阑尾炎。
消化内科一病区李俊主任了解病情后,考虑到患者年龄较小,组织团队制定了周密的手术计划,详细向患者家属介绍手术的操作过程、微创性及优缺点。经患者家属同意后,在消化内镜室行内镜逆行性阑尾炎治疗术,术中将阑尾腔内大量粪石及脓性分泌物冲出,术后查体患儿腹痛明显缓解,择期出院。


据李俊主任介绍,阑尾位于右下腹,管腔细长,具有分泌消化酶、参与机体免疫、分泌相关肠道激素、维持肠道菌群平衡等功能。阑尾炎是由于各种原因引起的阑尾管腔堵塞或继发细菌感染的炎症,临床表现为转移性右下腹疼痛,伴有恶心、呕吐、腹泻等症状,严重感染时可伴有发热、乏力等全身症状,如不及时治疗可能会造成严重的腹腔感染,甚至导致感染性休克危及生命。传统阑尾治疗方式以外科手术切除为主,分为开腹阑尾切除与腹腔镜阑尾切除。近年研究发现,阑尾切除后会增加克罗恩病、胆结石、大肠癌等疾病的风险。因此阑尾并非“无用器官”,不应被轻易切除。
内镜逆行性阑尾炎治疗(endoscopic retrograde appendicitis therapy, ERAT)与常规外科阑尾切除术有所不同,其理念围绕着超级微创术展开,是从人体自然腔道进入,通过内镜插入回盲部,进行插管、冲洗减压、粪石取出、扩张狭窄阑尾腔、放置阑尾支架以及引流脓液等多种治疗手段来治疗阑尾炎,其优势体现在疼痛迅速缓解、保留阑尾完整性和功能、术后并发症少、术后患者恢复迅速、手术费用较低等方面。
文图:消化内科一病区