肾移植患者发现膀胱癌,怎么办?
别怕,昆医大附二院泌尿外科团队为您的健康护航!

2022年8月10日,在昆医大附二院泌尿外科王剑松、左毅刚团队的密切配合及精心管理下,张劲松医生主管的一名患膀胱癌的54岁女性肾移植术后患者康复出院。该患者系肾移植术后,反复出现尿路感染,于1年前体检发现膀胱占位,因无血尿未规律随诊,近日至我院复查发现膀胱占位,活检证实为膀胱癌。确诊后,王剑松主任立即主持科室展开讨论,针对患者13年前的肾移植具体情况进行研究检查检验,完善围术期准备,确定手术方式为尿流改道方式及备选方案,成功为该患者在全麻下行“3D腹腔镜下膀胱根治性切除+肠粘连松解术+子宫、双侧附件切除术+右侧移植肾输尿管皮肤造口术”。术后恢复良好,术后第8天顺利出院。
慕名而来的患者
2022年8月1日,该患者至昆医大附二院泌尿外科张劲松主任医师门诊就诊。主诉因肾移植术并发膀胱癌,常年口服免疫抑制剂,既往又合并开放性肾移植、剖产史。患者家属说:“在得知我爱人患此病后,倍感焦急,几经走访北京、上海多地看病,多方打听后,了解到昆明医科大学第二附属医院泌尿外科是云南省最好,甚至西南地区乃至全国都是名气极大的泌尿外科专科医院,手术肯定做的很好,决定在昆医大附二院行手术治疗”。鉴于患者复杂的既往病史,加之近期血源紧张,在未充分备血的情况下开展根治手术,手术难度、手术风险极大。

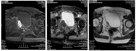
入院后,张劲松主任医师对该患者进行了详细病史询问和术前检查,重点了解了患者13年前肾移植情况、术后免疫抑制剂使用药物类别和剂量及既往手术史。随后,完善盆腔多参数磁共振检查和取活检结果,术前诊断为膀胱高级别浸润性尿路上皮癌。术前查血常规、凝血、肝功能、肾功能、胸部CT、心电图、心超等均未见明显异常。
源自内心的责任
科室对该患者高度重视,科室主任王剑松教授牵头,在左毅刚主任医师、张劲松主任医师、王海峰教授、李宁副主任医师、付什主治医师等讨论下,团队一致认为此例手术困难重重,存在术中粘连严重、移植肾输尿管游离困难、长度较短、尿流改道方式选择困难、术后感染风险极高、移植肾排异、大出血等风险。但因患者病情需要,患者恶性肿瘤行保膀胱治疗效果欠佳和移植肾耐受免疫制剂、化疗药物差,加之化疗后骨髓抑制反应,化疗后感染风险高,因此很难通过上述保膀胱策略等达到有效保守治疗,现必须行手术治疗。
全心全意的守护
疑难杂症的困境和维护生命的抉择再一次摆在医务人员的面前,怎么办?
在手术难度极大、术后可能重症感染、血液资源稀缺的情况下,王剑松主任和左毅刚团队深感压力巨大,但是面对患者,作为医生的初心使命又不容他们在困难和压力面前妥协。加之附二院泌尿外科经过几十年的沉淀,已经积累了丰富的膀胱癌手术经验,同时依托强医院有力的重症医学科及麻醉手术科室的支撑,王剑松主任和左毅刚团队决定迎难而上,全力帮助患者解决病痛。
经过多学科讨论协商后,最终决定为患者行“3D腹腔镜下膀胱根治性切除+肠粘连松解术+子宫、双侧附件切除术+右侧移植肾输尿管皮肤造口术”。
齐心协力的成功
术前在各相关科室共同努力下,未停用免疫抑制剂,同时积极补充营养、备血并联系ICU床位。
2022年8月3日,由王剑松主任主刀为患者进行手术。手术过程中发现腹腔广泛粘连,肠管、腹膜粘连,移植肾位于右侧髂窝内,移植肾输尿管、供血血管解剖结构不清,移植肾输尿管行径怪异,且肿瘤外生型生长,与周围组织、腹壁粘连,血供丰富,手术难度大,出血风险高。结合3D腹腔镜的优势,手术团队凭借熟练精细的手术操作,解决术中出现的一个个难题和新情况,顺利完成手术。手术时长3.75h,术中出血量约200ml。术后病检提示高级别尿路上皮癌。
为确保患者安全,术后患者送入重症医学科照护。在重症医学科的悉心照护下,患者术后第1天转回泌尿外科普通病房,第3天即下床自主活动,继续维持术前免疫制剂治疗,逐渐恢复饮食,血色素平稳,血肌酐未升高,尿量每天平均2000ml,未出现发热、感染等并发症,生命体征亦保持平稳,术后第8天顺利恢复出院。后期泌尿外科医务人员会对其进行常规的定期随访及术后辅助治疗,跟踪远期治疗效果
膀胱癌治疗 昆医大附二院值得信赖
凭借着一流的泌尿外科平台和自身过硬的医疗技术,昆明医科大学第二附属医院泌尿外科团队收治数千例膀胱癌患者,绝大多数患者均获得了满意的治疗效果。此例女性肾移植术后合并膀胱癌患者的成功治疗,充分体现了昆明医科大学第二附属医院多学科协作诊疗疑难疾病的巨大优势,也体现了昆明医科大学第二附属医院泌尿外科在膀胱癌诊疗领域具有深厚、扎实的临床基础,丰富的治疗经验,以及精湛的手术技术,是云南省内广大膀胱癌患者寻求诊治的最佳选择。
昆明医科大学第二附属医院作为云南省泌尿专科医院,现已有5个病区,编制床位超300张,年手术量达10000余台,在国内和西南地区率先开展了腹腔镜泌尿肿瘤根治性切除、腹腔镜尿路重建术等一系列微创泌尿外科手术,拥有着数千例腹腔镜下膀胱癌根治术的手术经验。
近年来引进开展达芬奇机器人手术,更使泌尿外科微创手术迈向了新的时代。目前昆明医科大学第二附属医院泌尿外科在微创泌尿外科手术方面已步入了国内领先行列。
文图:泌尿外科一病区